中
/
English
研究所概况
关于我们
联系我们
科学研究
科研团队
科研进展
学术报告
合作交流
成果转化
认识癌症
基础知识
癌症诊断
癌症治疗
癌症的种类
新闻公告
新闻
公告
团队风采
招生招聘
招生
招聘
科学研究
科学研究 /
科研进展
科研团队
科研进展
学术报告
合作交流
成果转化
尤忠胜教授揭秘:TRPV2,先天免疫系统的“智能双功能开关”
2025-12-24
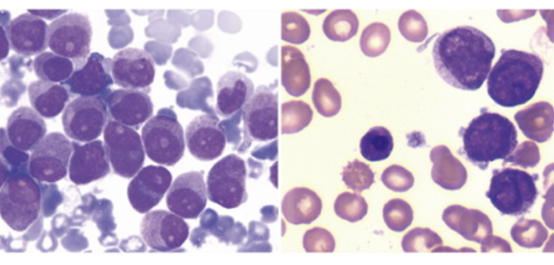
【Haematologica】主鸿鹄课题组系统解析TTMV::RARA阳性白血病患的病毒整合机制及临床分子特征
2025-11-15
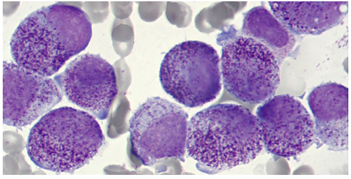
主鸿鹄教授团队新发现:病毒来源融合基因为急性早幼粒细胞白血病罕见致病元凶
2025-06-30
AI揭示赖氨酰氧化酶家族在癌症预后与治疗中的新价值
2025-04-30
✕